Technologies in cosmetic dentistry have enabled many patients to improve the functionality and attractiveness of their teeth. Cosmetic dentistry Barrie treatments can be basic or complicated procedures, which need a skilled cosmetic dentist’s abilities and competence. You should get guidance from a competent and respected oral healthcare expert, whether you receive cosmetic treatment for a health or personal reasons. This allows you to achieve the optimal treatment plan and is the greatest approach to make sure it is safe. Here are a few top cosmetic dental procedures:
Teeth Whitening
The most frequent cosmetic treatment in most locations in the globe is teeth whitening. It is helpful to improve the smile of a dental patient. Teeth can be whitened using whitening products. It is recommended that you see your dentist and under his control use a whitening kit. A dentist will enable you to choose the finest way of tooth whitening and will inspect your teeth periodically to guarantee that they are not injured. Whitening in the dentist’s office might help you reach your objectives within an hour.
Composite Bonding
Composite bonding is meant for Denture patients who have broken or cracked teeth. it is also one of the cosmetic dental treatments. The dentist will use a drill to remove dental decay and the degraded, soft, and mushy substances inside the tooth. The tooth is then coated with a composite-colored substance. The composite material is passed over with a blue light to make the tooth rigid. The ultimate result is a natural and healthy tooth.
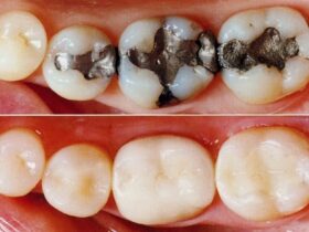
Onlays and Inlays
Onlays and inlays are non-direct fillings. They are utilized when the structure of the tooth is not robust enough for standard filling support. Installation is done in the lab initially when the patient is given temporary fillings. The process might take up to two weeks to be finished if the fillings need to be made in an offsite facility. Dentists can prepare and adapt the restorations in one day with the new developments in technology.
Implants
Cosmetic dentistry solutions for missing teeth are implants. They are highly suggested for individuals who wish to substitute missing teeth but do not want classic teeth. They appear like real teeth and it is one of their main advantages.
Dental Veneers
Dental veneers are used to fix spacing problems between teeth, damaged, stained, poorly shaped teeth, shattered teeth, and broken teeth. Dental veneers may significantly enhance your smile. They improve the look of your teeth but do not fix overbites and bites issues.
