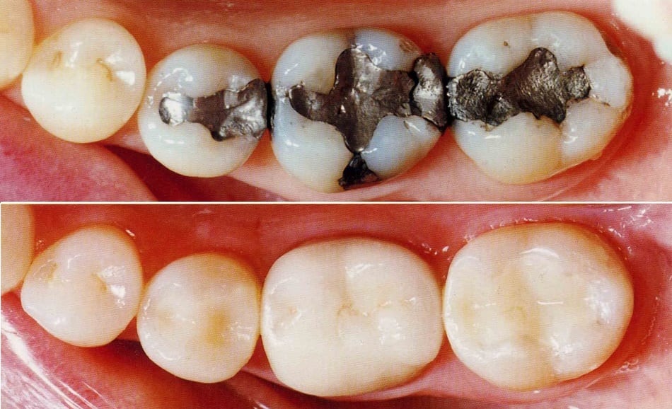
Composite fillings have become more popular in recent years for their ability to offer a variety of benefits. For instance, composite fillings can be used to enhance certain types of teeth, provide added strength or resistance to suction, as well as protect various surfaces of the tooth from decay. They also last significantly longer than other options, such as amalgam restorations.
A cosmetic dentist in Fresno, CA, can help determine whether composite fillings are a viable option for you. These fillings are also strong and durable and most likely will last for many years without the need for any repair or replacement. Additionally, they do not require mercury like traditional amalgam fillings, which some patients prefer to avoid due to the possible health risks from exposure.
Composite fillings are best for people with:
- Chipped teeth
Composite fillings can easily fill in chips or small cracks on teeth. These fillings are able to provide effective cosmetic support for these teeth and protect them from decay. They can also be used to cover up cracks or chips that have been present for a long period of time. Moreover, composite fillings also last longer than other types of restorations.
- Closing space between two teeth
Teeth that are overcrowded or spaced too far apart may need to be realigned in order to support a dental bridge. Composite fillings can also be used to cover gaps between teeth and improve their appearance. This is often an effective way to make this problem more aesthetically pleasing, as well as offer a longer-lasting solution for these patients. Additionally, it can help avoid the need for potentially painful orthodontic procedures or other treatments.
- Cracked or broken teeth
Composite fillings are able to provide strong support and protection for teeth that have cracks, breaks, or other ailments. It is important to note that while they can’t repair all types of tooth damage, they can support the tooth and protect it from future decay or damage. The filling is also able to restore the strength, shape, and size of the tooth so that they become more beautiful and functional.
- Decayed teeth
Composite fillings are able to provide superior protection for teeth that have already begun to decay. These fillings can be used to help strengthen or restore teeth, allowing them to better resist future decay.
- Worn teeth
Composite fillings are able to restore the surface of a tooth, as well as provide support. This makes them an ideal solution for teeth that have been worn down through wear, so they look more beautiful and function more effectively.
